广州肤康皮肤病医院

当前位置:首页 > 荨麻疹 >

治疗荨麻疹需要多少钱?

来源:广州荔湾区肤康皮肤科医院 广州肤康皮肤病医院(3459人推荐)

更新时间:2014-12-26 18:49:41

  治疗荨麻疹需要多少钱?荨麻疹发作起来瘙痒难耐,患者不仅承受着巨大的身心痛苦,而且反复治疗还让患者多花很多冤枉钱。只有一次性治愈荨麻疹,才能减轻痛苦又少花冤枉钱。广州肤康皮肤病医院医生提醒:由于病情及过敏原不同,荨麻疹治疗费用可在检查后,由皮肤医生进行详细评估。

  广州肤康皮肤病医院

广州肤康皮肤病医院预约医生您属于哪种荨麻疹?专业费用评估广州肤康皮肤病医院

广州肤康皮肤病医院

 


  1、选择医院不同费用大不同

 

  在医院的选择上,市民往往更倾向于选择正规医院,具有医保资质的正规医院,能更大程度上帮患者节省治疗费用。与以营利为目的医院过高收费不同,非营利医院在收费方面更正规。

 

  2、肤康治荨麻疹专业正规  省钱又省心 

 广州肤康皮肤病医院 

  广州肤康皮肤病医院收费正规,荨麻疹等皮肤病项目的诊疗费用,均严格按照国家物价部门核定的标准收费,合理规范,其透明规范的收费制度,让患者就诊放心。

 

广州肤康皮肤病医院预约了解肤康收费标准广州肤康皮肤病医院

广州肤康皮肤病医院

 


  广州肤康皮肤病医院中西结合 科学治荨麻疹

  ——疗效好、疗程短、更省钱

 

  广州肤康皮肤病医院中西结合模式科学规范化治疗荨麻疹,在总结传统中医治疗经验的基础上,完美融合西医治疗理念,采用现代生物工程技术提取的天然生物制剂,配合国际先进半导体纳米光治疗仪联合中医针灸法,物理作用于荨麻疹病灶,有效改变过敏体质,有效调节机体免疫力。针对各种不同类型过敏所致的荨麻疹,采用个性化临床治疗方案,成功治疗各种荨麻疹。

 

广州肤康皮肤病医院 

  广州肤康皮肤病医院点击预约快速治疗荨麻疹防止复发广州肤康皮肤病医院 

广州肤康皮肤病医院

 


  肤康中西结合治荨麻疹优势:

 

  1、快速高效:针对患者不同过敏源,采用个性化治疗方案,结合中医针灸和纳米光治疗仪,将中药物理作用于荨麻疹病灶,可快速产生抗过敏源体;

 

  2、疗效显著:将中药物理作用于荨麻疹病灶,可有效改变过敏体质,有效调节机体免疫力恢复,恢复自然生理机能,避免长时间口服西药激素及外用膏剂所导致的毒副作用;

 

  3、防止复发:辅以中药内调外治,加强病灶营养,提高自身免疫力,保持机体自然生理机能动态平衡,恢复皮肤自我养护功能,解决复发难题。

 

  广州肤康皮肤病医院快速止痒祛诊?点击预约医生广州肤康皮肤病医院

广州肤康皮肤病医院

 


  病友交流

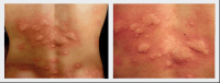
  编号:XMZ00351  左庆鹏(化名) 34岁  2015年7月治疗

广州肤康皮肤病医院 

患者在肤康治疗前后对比图 

广州肤康皮肤病医院效果这么好,费用贵不贵呢广州肤康皮肤病医院 

广州肤康皮肤病医院

 

广州肤康皮肤病医院
 

  2015年,肤康受邀参加皮肤病诊疗技术推广大会暨皮肤疑难病公益防治工程启动仪式,与皮肤医学医生、学者开展经验交流,被组委会授予国际新技术推广及皮肤病公益防治定点单位。 2016年作为广州市代表,出席参加(中国)皮肤科新技术新进展研讨会暨北上广皮肤科主任论坛,原卫生部副部长孙隆椿对我院“中医纳米光联合脱敏疗法”学术报告给予高度认可,盛赞肤康临床医疗实力雄厚,并为广州肤康皮肤病医院题词勉励。  


  广州肤康皮肤病医院是经国家卫生部门批准成立的中医特色皮肤专科,专科、专病、专治皮肤。肤康以中医为特色,开展中西医结合诊疗模式。如果有其他问题可以在线预约或拨打热线:020-81779255预约肤康医生。

 

        就诊需知:

  1、肤康就诊患者较多,请提前网上预约挂号,网络预约优先就诊【点此预约】

  2、接诊时间:早8点—晚9点(节假日不休)

 

广州肤康皮肤病医院  广州肤康皮肤病医院

 

广州本月网友热门关注—当前关注

广州肤康皮肤病医院

广州荔湾区肤康皮肤科医院注重学科建设,特聘资深医生入驻广州荔湾区肤康皮肤科医院,整合名医资源优势,保障市民皮肤健康,汇聚卢植生、田华、吴月志等一大批皮肤名医,使广州荔湾区肤康皮肤科医院临床诊疗水平一直走在前列

广州肤康皮肤病医院
广州肤康皮肤病医院
广州肤康皮肤病医院
广州肤康皮肤病医院